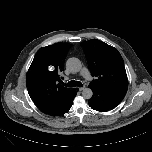
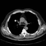
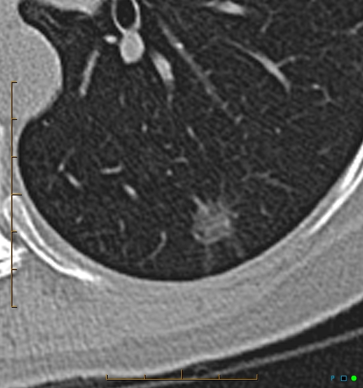
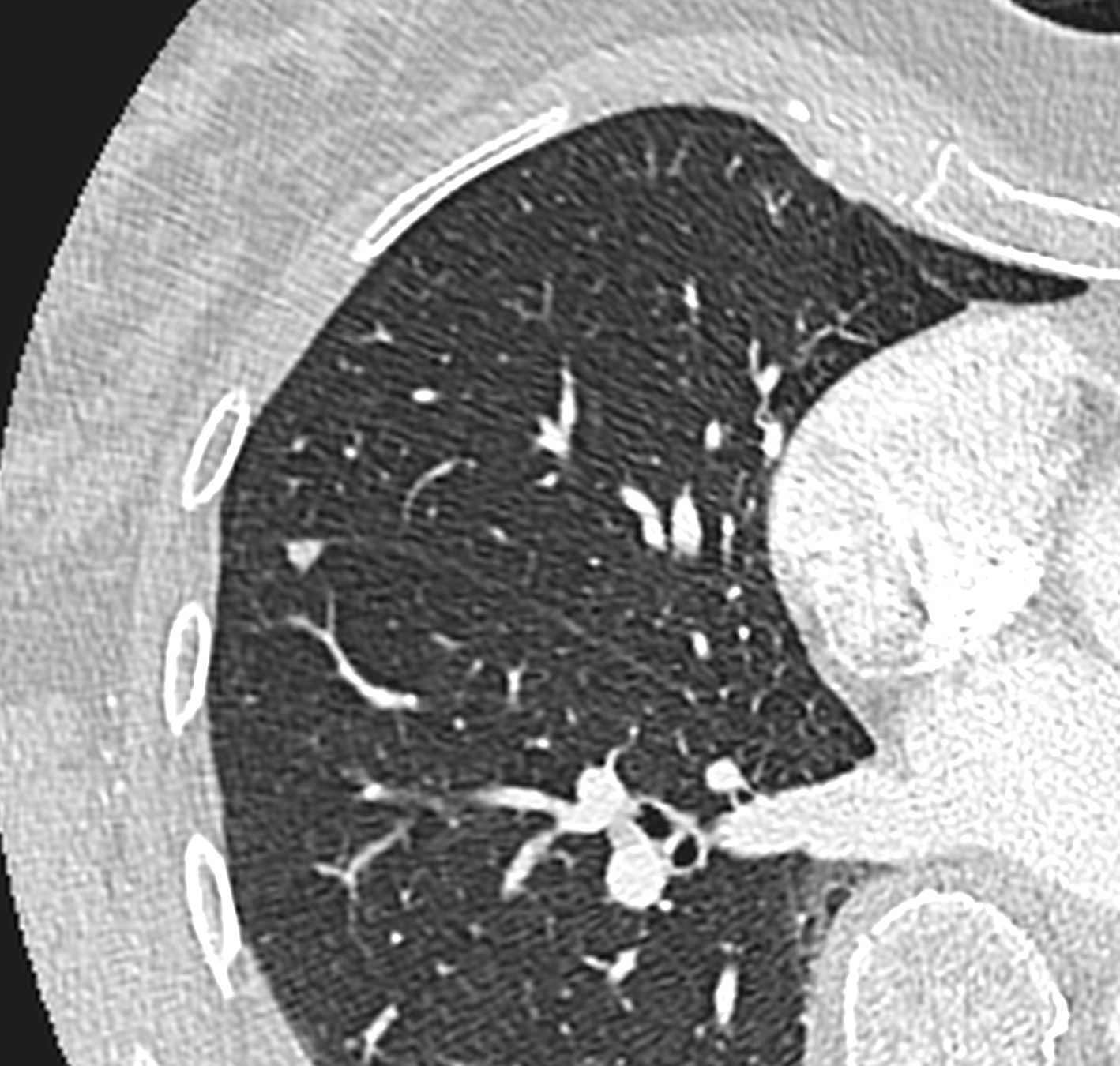
Nodulo Polmonare

Il nodulo polmonare è un’opacità di dimensione < 3 cm, che non coinvolge la pleura, ed in genere non è associato a linfoadenopatia.

L’eziologia del nodulo polmonare può essere infiammatoria (granuloma come nel caso di TBC e sarcoidosi, ascesso), benigna (amartomi, condromi), maligna (per tumore primitivo del polmone, metastasi, linfoma o sarcoma) o da embolo settico, malformazione artero-venosa o atelettasia rotonda .

Per valutare il nodulo polmonare, vengono descritti dimensione, velocità di crescita ed alcuni aspetti morfologici :

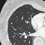
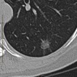
  • Densità. Può essere solida, a vetro smerigliato o parzialmente solida
  • Forma. Nella maggior parte dei casi è rotonda o ovalare, ma può essere anche triangolare o poligonale (come spesso nel caso di linfonodi periscissurali), spiculati o stellati
  • Margini. Possono essere lisci, lobulati o spiculati
  • Contenuto. In caso di presenza di tessuto adiposo, calcificazioni o cavitazioni.
  • Sono utili all’inquadramento del nodulo polmonare anche altri reperti come: retrazione pleurica, segno del broncogramma aereo, pseudocavitazioni, pattern cistico (raro) ed il vascular convergence sign.

I criteri della Fleischner Society (dimensione, nodulo singolo/ multiplo, nodulo solido/ subsolido/ a vetro smerigliato) stabiliscono il follow up per il nodulo polmonare, a 3 mesi per i casi più a rischio. Sono esclusi dai criteri della Fleischner Society i pazienti con età inferiore ai 35 anni, i pazienti non immunocompetenti ed i pazienti con tumore polmonare primitivo.

  • A. Wyker, S. Sharma, W.W. Henderson, Solitary Pulmonary Nodule In: StatPearls. Treasure Island: StatPearls Publishing; 2025 Jan. 2024 Aug 12.
  • G. Prokop, Tomografia computerizzata. Spirale e multistrato, Edra, 2007
  • Cruickshank, A., Stieler, G., & Ameer, F. (2019). Evaluation of the solitary pulmonary nodule. Internal Medicine Journal, 49(3), 306–315.
  • Ocaña‑Tienda, B., Eroles‑Simó, A., Pérez‑Beteta, J., Arana, E., & Pérez‑García, V. M. (2024). Growth dynamics of lung nodules: implications for classification in lung cancer screening. Cancer Imaging, 24, 113.
  • Snoeckx A, Reyntiens P, Desbuquoit D, Spinhoven MJ, Van Schil PE, van Meerbeeck JP, Parizel PM. Evaluation of the solitary pulmonary nodule: size matters, but do not ignore the power of morphology. Insights Imaging.
  • Khan AN, Al‑Jahdali HH, Irion KL, Arabi M, Koteyar SS. Solitary pulmonary nodule: a diagnostic algorithm in the light of current imaging technique. Avicenna J Med. 2011 Oct‑Dec;1(2):39–51. doi:10.4103/2231‑0770.90915.
  • MacMahon H, Naidich DP, Goo JM, Lee KS, Leung ANC, Mayo JR, Mehta AC, Ohno Y, Powell CA, Prokop M, Rubin GD, Schaefer‑Prokop CM, Travis WD, Van Schil PE, Bankier AA. Guidelines for Management of Incidental Pulmonary Nodules Detected on CT Images: From the Fleischner Society 2017. Radiology. 2017 Jul;284(1):228–243. doi:10.1148/radiol.2017161659

Articoli in evidenza

TIRADS