Lesioni epatiche benigne – TC ed RM

CISTI EPATICHE Formazioni non neoplastiche che derivano dall’endotelio biliare. Possono essere isolate o multiple e avere dimensioni variabili da pochi millimetri a diversi centimetri. Aspetto
Lesioni benigne e maligne dei surreni

Lesioni benigne dei surreni Il riscontro di lesioni surrenali è spesso incidentale, tanto da venir colloquialmente definiti “incidentalomi surrenalici”, la cui frequenza aumenta con l’età,
Nodulo Polmonare

Il nodulo polmonare è un’opacità di dimensione < 3 cm, che non coinvolge la pleura, ed in genere non è associato a linfoadenopatia. L’eziologia del
Come Diagnosticare l’Instabilità di Spalla: Lesioni e Imaging con Artro-RM

Introduzione e Anatomia della Spalla L’instabilità della spalla è una condizione che compromette l’allineamento normale dell’articolazione gleno-omerale, causando dolore e, nei casi più gravi, dislocazioni
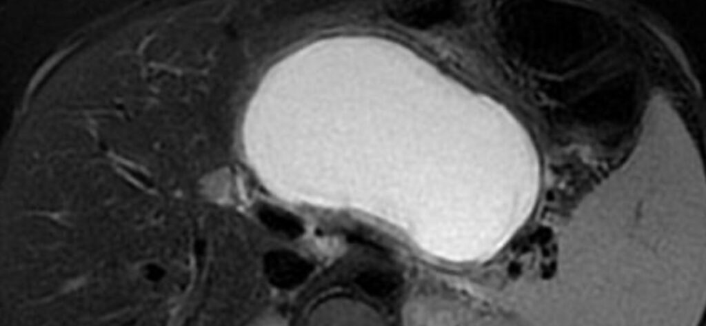
Lesioni cistiche del pancreas

Epidemiologia Le lesioni cistiche del pancreas sono sempre più diagnosticate grazie all’uso diffuso di tecniche di imaging avanzate come la TC (Tomografia Computerizzata) e la
Lipedema

Che cos’è il lipedema? Il lipedema è una patologia cronica caratterizzata da un anomalo accumulo di tessuto adiposo sottocutaneo, prevalentemente a livello degli arti inferiori,
Lesioni meniscali

Anatomia I menischi sono due piccole strutture fibrocartilaginee a forma di semiluna, poste tra i condili femorali ed il piatto tibiale. Servono ad aumentare la
Pattern Reticolare

Pattern reticolare liscio 1. Edema polmonare interstiziale Cos’è: accumulo di liquido nell’interstizio polmonare, spesso causato da insufficienza cardiaca Ispessimento liscio di setti interlobulari, GGO; possibile crazy
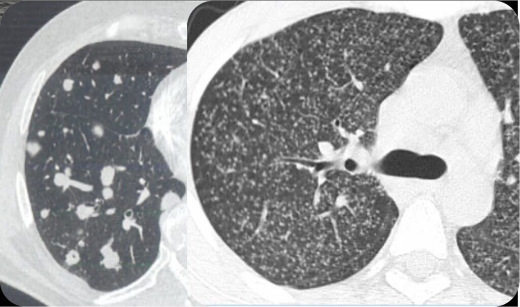
Pattern Nodulare

Pattern nodulare Il pattern nodulare è caratterizzato dalla presenza di noduli che possono variare per dimensione, distribuzione e densità. I noduli rappresentano addensamenti focali del
Pattern Alveolare

Pattern Alveolare Il pattern alveolare è un reperto radiologico che riflette il riempimento degli spazi alveolari, solitamente dovuto a liquido, pus, sangue, cellule o proteine.