TC rachide o colonna vertebrale

Cos’è? La TC Rachide (o TC della colonna vertebrale) è un esame che sfrutta i raggi X per ottenere immagini tridimensionali delle strutture e dei
Cone Beam

Argomento principale: TC Tomografia Computerizzata Cos’è? La Cone Beam Computed Tomography (CBCT) è un’apparecchiatura diagnostica per l’imaging radiologico che trova la sua massima applicazione nello
Lesioni muscolari

Lesioni muscolari: un problema frequente nello sport Le lesioni muscolari sono una problematica diffusa sia negli sport ricreativi che professionali, rappresentando dal 10% al 55%
RM Encefalo

Cos’è? L’indagine di risonanza magnetica cerebrale (o RM encefalo) rappresenta il Gold Standard nella diagnostica per immagini encefalica per verificare o escludere eventuali patologie. Ad
Angio-RM cerebrale

Cos’è? L’Angio-RM, o Angiografia a Risonanza Magnetica, è una tecnica di immagini non invasiva che può prevedere o meno la somministrazione del mezzo di contrato
RM in Neuroradiologia

Cos’è? L’imaging di risonanza magnetica (RM) è la tecnica più diffusamente impiegata in neuroradiologia, basata sull’eccitazione di nuclei di idrogeno, sottoposti a campi magnetici e
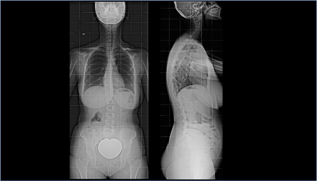
RX colonna vertebrale in toto

Cos’è? La radiografia della colonna vertebrale in toto o completa, permette di ottenere un’unica immagine dell’intera colonna vertebrale, dalla cervicale al bacino, e di visualizzare
Angio-TC dei tronchi sovraortici o dei vasi intracranici

Cos’è? L’angioTAC è utilizzata per lo studio di anomalie del sistema vascolare, nel caso specifico dei vasi del distretto cervico-cefalico extra- ed intra-cranici. L’esame richiede
TC in Neuroradiologia

Cos’è? La tomografia computerizzata (TC), è una procedura diagnostica che sfruttando raggi x, genera immagini digitali del corpo tridimensionali ed in sezioni nei tre piani
Radiografia in Neuroradiologia

Cos’è? Si tratta di un’indagine che sfrutta radiazioni ionizzanti (raggi X) su un unico piano di studio (2D). Le radiazioni prodotte dall’apparecchiatura radiologica attraversano progressivamente