7. Preparazione dei dati

Preparazione dei Dati La precisione dei modelli radiomici può essere compromessa da scarsità di dati, fattori confondenti e problemi di squilibrio delle classi (class inbalance),
10. Training, Validation, Test

Un flusso di lavoro standard di machine learning comprende le fasi di training, validation e test, che richiedono la divisione del dataset originale in sottogruppi
4. Preprocessing delle immagini

Preprocessing Il preprocessing delle immagini radiologiche è una fase cruciale che influisce sull’accuratezza e sull’affidabilità dell’estrazione delle features. Il preprocessing è essenziale per ridurre la
3. Compromesso bias-variance

Compromesso Bias-Variance Il compromesso tra bias e variance è fondamentale nel Machine Learning (ML), poiché molte delle sfide e delle questioni metodologiche mirano, in ultima
2. Machine learning, deep learning

Machine learning, Deep learning Gli approcci di radiomica possono essere raggruppati in tre gruppi: Radiomica tradizionale (hand-crafted radiomics), vengono estratte dalle immagini features di natura matematica, presentate
Radiomica Step by Step

Radiomica Step by Step La radiomica rappresenta una delle maggiori innovazioni degli ultimi anni in radiologia e promette di rivoluzionare la medicina moderna. L’obiettivo della
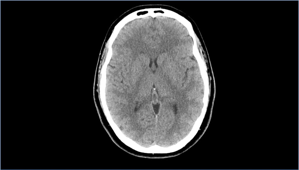
TC encefalo o del capo

Cos’è? La TC encefalo/del capo è un esame diagnostico usato per ottenere immagini dettagliate delle strutture e dei tessuti che compongono la testa. L’esame può
RM rachide o della colonna vertebrale

Cos’è? Le indagini di Risonanza Magnetica della colonna (RM rachide) rappresentano il Gold Standard per la visualizzazione del midollo spinale, delle radici nervose o delle
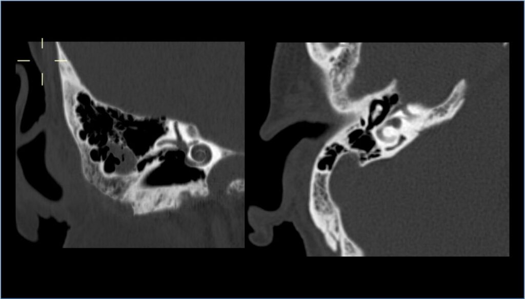
TC orecchio

Cos’è? E’ un’indagine radiologica che, tramite l’utilizzo dei raggi X, permette lo studio delle strutture ossee dell’orecchio e delle strutture nervose dell’angolo ponto-cerebellare, in maniera
RX cranio e seni paranasali

Cos’è? La RX Cranio e Seni Paranasali è un esame radiologico usato per visualizzare le componenti ossee della scatola cranica e le cavità dei seni