Infiltrazioni delle articolazioni sacroiliache ecoguidate

Cosa sono? Le sacroiliache sono due articolazioni che collegano l’osso sacro, situato nella parte bassa della colonna vertebrale, all’osso iliaco, che è parte del bacino.
RM multiparametrica della prostata

Scarica il PDF di preparazione Cos’è? La risonanza magnetica multiparametrica della prostata è un esame diagnostico non invasivo e altamente specialistico che permette di individuare
Ecografia dei linfonodi

Che cos’è? L’ecografia dei linfonodi è un’indagine radiologica che utilizza gli ultrasuoni per studiare i linfonodi, piccole ghiandole ovoidali delle dimensioni di pochi centimetri localizzate
Ecografia muscolotendinea

Cos’è? L’ecografia muscolotendinea o osteoarticolare è un esame non invasivo che consente di studiare le varie articolazioni del corpo ed in particolare muscoli, tendini, legamenti
Strategie di backup in ambito sanitario

Premessa Nell’attuale panorama digitale, l’utilizzo strategico dei dati, l’implementazione di robuste strategie di backup e politiche di disaster recovery, assumono un ruolo chiave per il
Autopalpazione del seno

Autopalpazione del seno, perchè è importante La consapevolezza è la prima difesa di una donna nella battaglia contro il cancro al seno. L’autopalpazione mammaria è
Litoclasia percutanea ecoguidata

Cos’è la litoclasia percutanea ecoguidata? La litoclasia percutanea ecoguidata di spalla è una procedura mini-invasiva per il trattamento della tendinopatia calcifica della spalla, che si
Ecografia dell’apparato urinario

Che cos’è? L’ecografia dell’apparato urinario è un’indagine radiologica che utilizza gli ultrasuoni per studiare i reni e le vie escretrici (ureteri e vescica) ed è
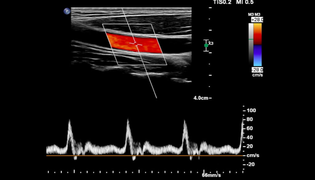
Eco-color-Doppler

Eco-color-Doppler, che cos’è? L’eco-color-Doppler (ECD) è una tecnica ecografica che sfrutta alcune proprietà fisiche degli ultrasuoni (in particolare il cosiddetto effetto Doppler) per studiare le
Ecografia dei nervi periferici

Cos’è L’ecografia dei nervi periferici consente di visualizzare direttamente un danno nervoso attraverso l’uso degli ultrasuoni. Negli ultimi anni l’utilizzo dell’ecografia per lo studio del