Neuroradiologia

La Neuroradiologia si occupa della diagnosi e del trattamento delle patologie del sistema nervoso centrale e periferico.
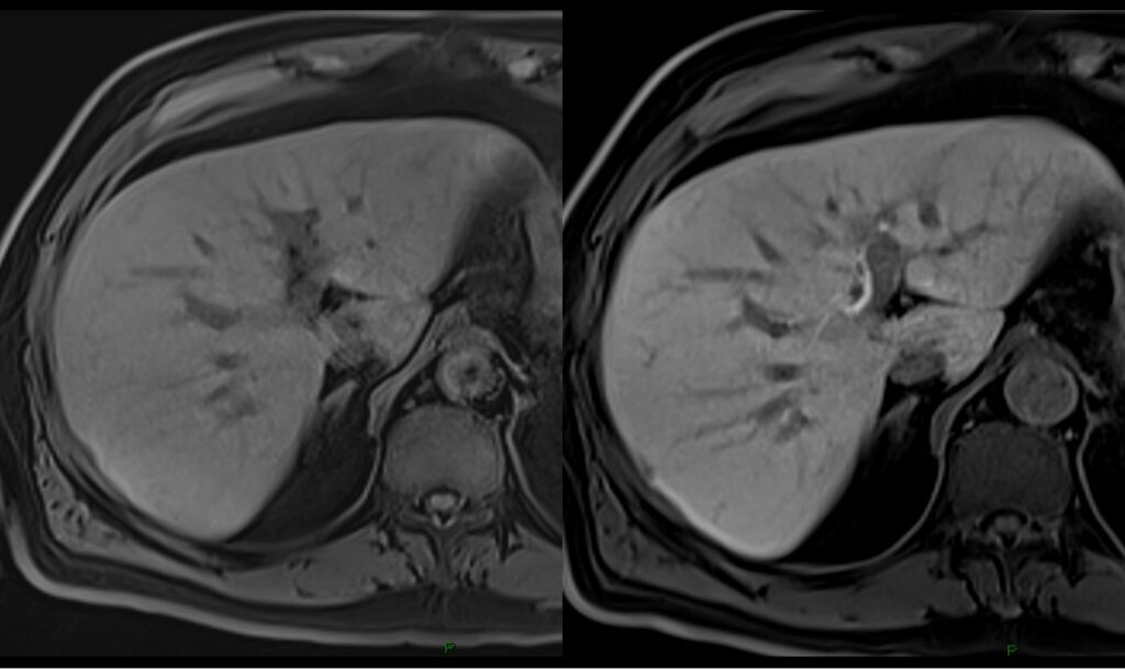
RM del fegato

Cos’è? La risonanza magnetica (RM) del fegato con mezzo di contrasto epatospecifico (MDC) è una tecnica diagnostica avanzata che impiega campi magnetici e onde radio
Mezzi di contrasto epatospecifici

Cosa sono? I mezzi di contrasto (MDC) epatospecifici sono farmaci che vengono iniettati endovena durante un esame di risonanza magnetica per lo studio del fegato,
Risonanza Magnetica: come funziona

Introduzione Il funzionamento della risonanza magnetica è estremamente complesso e necessita di solide basi di fisica per essere compreso. Basti pensare che alla base dei
Instabilità della spalla

Introduzione L’instabilità della spalla si riferisce alla tendenza della testa omerale a dislocarsi dalla cavità glenoidea. Questa condizione può compromettere significativamente la funzionalità e causare
Radioprotezione in gravidanza

Radioprotezione in Gravidanza: Principi e Rischi La radioprotezione in gravidanza è un tema cruciale per garantire la sicurezza del feto durante esami diagnostici radiologici. I
Mezzi di contrasto in gravidanza e allattamento

Gravidanza e allattamento Raccomandazioni sull’uso dei mezzi di contasto durante la gravidanza e l’allattamento. Iodati (TAC) Gadolinio (RM) GRAVIDANZA In circostanze eccezionali, quando l’esame radiologico
Quanto tempo deve passare tra due esami con mezzo di contrasto?

Quanto tempo deve passare tra due esami con mezzo di contrasto? E’ possibile eseguire due esami con contrasto lo stesso giorno? Esistono specifiche linee guida
Creatinina e GFR

Nefropatia da contrasto Il danno renale acuto dopo mezzo di contrasto (Post Contrast Acute Kidney Injury PC-AKI) è definito come un incremento della creatininemia ≥
Reazioni avverse ai mezzi di contrasto

Cosa fare nel caso di reazione avversa Pazienti a rischio di reazioni avverse ai mezzi di contrasto Vengono considerati a rischio di reazioni avverse ai